" I don't deserve this award, but I have arthritis and I don't deserve that either, so thank you" - Jack Benny.
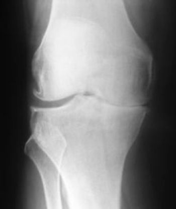
Arthritic pain is caused due to a loss of cartilage in the joints where the pain is caused. This in turn causes a narrowing of the gap between the ends of the bones. This can be seen on the picture to the left, as the gap between the different bones is only visible on one side of the bone. This causes a constant rubbing between the bones when they are moved which causes painful sensations in the individual.
​
Generally arthritis sufferers are told that their is nothing that can be done about their arthritis other than to take pain killers to ease the pain. However, through hypnosis it is possible to reduce and even get rid of arthritic pain. This is done by altering the brains perception of your pain. Through hypnosis it is possible to allow the brain to understand that that certain pain is no longer needed by the individual, once the brain understands that the pain is no longer needed then easing of the pain can begin, this easing of the pain can often lead to a complete evaporation of the pain altogether.
Before therapy takes place you will need to have a signed doctors note stating that a proper diagnosis has been done on the patient and that he is happy for hypnotic pain management to take place on your condition. Without this doctors note, I cannot verify that you have had a proper diagnosis and I will be unable to do any sort of hypnotic pain management on you.
If you would like to apply for your free initial consultation to become pain free please click on the button below. Or for some information on generaly pain relief under hypnosis please click on the pain relief button.
arthritic pain (arthritis).
value. ​quality care. convenience.


